Tooth decay may eventually spread to the root of the tooth, the gingival (gum) and surrounding bone. As the infection progresses, an abscess (a collection of pus) can develop. This can produce loosening of the tooth. An abscess can spread to or form in the bone.
Swelling,Sore throat,Gum swelling
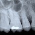
A history and physical exam will be performed. A panorex and/or CT scan may be performed to delineate the extent of disease.
CT_Scan
Dentistry,Oral and Maxillofacial Surgery
Antibiotics and drainage of the abscess are necessary. A root canal and/or tooth removal may be needed if the decay is severe.
“Healthlinebd” is a survice provider that bridges between healthcare seekers and healthcare service providers."Content" means text, graphics, images and any other material entered, processed, contained on or accessed through the applications/features, including content created or modified. "Services" means, services provided through the Healthlinebd Application. Healthlinebd.app ("us", "we", or "our") operates Healthlinebd.app (the "Site"). This page informs you of our policies regarding the collection, use and disclosure of Personal Information we receive from users of the Site. We use your Personal Information only for providing and improving the Site. By using the Site, you agree to the collection and use of information in accordance with this policy.
Healthlinebd offers paid services. Our call center number is 01842633647and it will take regular standard phone call charge by any operators of Bangladesh. Its services offer individual support for member’s personal healthcare decisions and health data storage. Healthlinebd does not recommend any specific content, services, tests, products, procedures, opinions or other information. We can only help you with storing medical data and to choose doctors and hospitals. A member will make the final decision on the choice of hospitals and doctors.
We do support your Health Decision Healthlinebd is designed to support most healthcare decisions of its members and help them make choices on health-related decisions. These decisions and choices are at the end yours and Healthlinebd believes that you are the best decision maker of your health. Decisions you are making, have to be aligned with the advices you receive from a professional doctor of your choice. You have to take your own decision and Healthlinebd cannot make decisions for you, we can only guide you towards it.
While using our Site, we may ask you to provide us with certain personally identifiable information that can be used to contact or identify you. Personally, identifiable information may include, but is not limited to your name ("Personal Information").
After registration, you can start enjoying the privileges of Healthlinebd membership. You may cancel your membership at any time from Healthlinebd App. Your membership benefits are not transferable and are for your own personal use only. Healthlinebd reserves the right to cancel your membership at any time.
Like many site operators, we collect information that your browser sends whenever you visit our Site ("Log Data"). This Log Data may include information such as your computer's Internet Protocol ("IP") address, browser type, browser version, the pages of our Site that you visit, the time and date of your visit, the time spent on those pages and other statistics.
We may use your Personal Information to connect you with newsletters, marketing or promotional materials and other information.
Cookies are files with small amount of data, which may include an anonymous unique identifier. Cookies are sent to your browser from a web site and stored on your computer's hard drive. Like many sites, we use "cookies" to collect information. You can instruct your browser to refuse all cookies or to indicate when a cookie is being sent. However, if you do not accept cookies, you may not be able to use some portions of our Site.
The security of your Personal Information is important to us, but remember that no method of transmission over the Internet, or method of electronic storage, is 100% secure. While we strive to use commercially acceptable means to protect your Personal Information, we cannot guarantee its absolute security.
This Privacy Policy is effective as of December 31, 2019 and will remain in effect except with respect to any changes in its provisions in the future, which will be in effect immediately after being posted on this page. We reserve the right to update or change our Privacy Policy at any time and you should check this Privacy Policy periodically. Your continued use of the Service after we post any modifications to the Privacy Policy on this page will constitute your acknowledgment of the modifications and your consent to abide and be bound by the modified Privacy Policy. If we make any material changes to this Privacy Policy, we will notify you either through the email address you have provided us, or by placing a prominent notice on our website.  

This website is operated by healthlinebd Ltd (www.healthlinebd.com). Throughout the site, the terms “we”, “us”, “our” and “Service Provider” refer to healthlinebd Ltd. Healthlinebd offers this website, including all information, tools and services available from this site to you, the user, conditioned upon your acceptance of all terms, conditions, policies and notices stated here. By visiting our site and/or purchasing something from us, you engage in our “Service” and agree to be bound by the following terms and conditions (“Terms of Service”), including those additional terms and conditions and policies referenced herein and/or available by hyperlink. These Terms of Service apply to all users of the site, including without limitation users who are browsers, vendors, customers, merchants, and/ or contributors of content. Please read these Terms of Service carefully before accessing or using our website, or placing an order. By accessing or using any part of the site, you agree to be bound by these Terms of Service. If you do not agree to all the terms and conditions of this agreement, then you may not access the website or use any services. If these Terms of Service are considered an offer, acceptance is expressly limited to these Terms of Service.
These terms and conditions specify the conditions and circumstances under which healthlinebd Ltd (hereinafter "healthlinebd" or "Service provider"), any entity belonging to the same group and subcontractors operating in any unit of the above parties (hereinafter "Subcontractor") provide and deliver health care services for consumers. In these terms and conditions, the user of the services is referred to as "Patient" and the payer as "Customer". The Patient and the Customer may be the same party or different parties. These terms and conditions apply to the Service Provider's health care services, such as appointments, Medicines, Test Reports, Blood Bank, Ambulance, Diagnosis, Blog, Payment history and others care and therapy services, as well as any related support services such as booking and invoicing. These terms and conditions do not limit the rights of the patient and consumer under the mandatory provisions of The Consumers’ Right Protection Act, 2009 and any other related laws of Bangladesh that cannot be agreed differently.
Both employees and Subcontractors of healthlinebd operate for healthlinebd. Healthlinebd is responsible for its own and its Subcontractors' services when they are implementing services agreed between healthlinebd and the Patient.
The agreement for the services referred in these terms and conditions become binding when the Patient accepts this agreement by signing this document or booking for an appointment, at which time these general terms and conditions become applicable until the use of the services ends
The Service Provider is committed to producing medically sound, high-quality treatment for the Patient by observing the common principles and provisions of legislation and the health care sector. The Patient has the right to receive high-quality health care and medical treatment in the manner agreed upon with the Service Provider, which includes as an essential element the right to participate in planning the implementation of the treatment to the necessary degree as well as the right to receive information on the provided treatment. The Patient also has the right to refuse care or medication. The Patient has the right to privacy and the right to be accompanied by a family member or other support person for as long as and as far as it does not interfere with providing the service. The Patient also has the right to receive visitors. The Service Provider does not commit to providing a single room for the use of the Patient. If provision of the service requires, for medical reasons or due to some other relevant event of a serious nature that the Patient be moved to some other care unit or another department, the Service Provider has the right to make this decision, if necessary without consulting the Patient.
Healthlinebd has the right to charge the Customer any unused appointment(s) and other service(s) if those have not been cancelled earlier than 3 days (72 hours) before the scheduled time. No prepayments will be refunded. If the Patient arrives late, healthlinebd is not obliged to provide any service(s) that cannot be carried out without unreasonable arrangements.
For international individual customers healthlinebd gives a fixed price, which covers all costs for services included in the treatment plan, including longer duration of stay or additional tests or operations due to medical reasons, if needed (evaluated by healthlinebd doctors), when those are directly connected to the primary care given by healthlinebd. If services are paid by an institutional Customer such as government, employer or insurance company, healthlinebd applies the conditions agreed with it. For other services healthlinebd price list is applied. Due to the nature of the medicine, it is not always possible to predict all required examinations and procedures in advance. healthlinebd is entitled to perform any procedures required for the quality of the treatment and safety of the Patient even if, due to the prevailing circumstances it has not been possible to obtain permission from the Patient and/or Customer. Healthlinebd charges fees for the services in advance if nothing else have been agreed. Bank transfer or VISA and MasterCard are preferred payment options; cash payment has to be agreed beforehand. If not agreed otherwise, the Patient has right to any the service(s) only when the payment has been received by healthlinebd three days (72 hours) before the scheduled time of the service.
Upon purchasing the service referred to in these terms and conditions, the Patient gives consent to the Service Provider to collect, process, store and disclose personal and patient information concerning the Patient in accordance with the service agreement and for the provision of the service referred to in these terms and conditions. The preparation of patient documents and the collection, processing, retention and disclosure of customer and patient information otherwise complies with the applicable provisions. The Service Provider is bound to confidentiality under Bangladesh law as applicable to health and medical care professionals.
Healthlinebd shall strive to ensure the conditions for achieving a high-quality end result. However, due to the nature of health care services, the end result cannot be guaranteed in advance.
Disputes regarding the service are primarily settled between the Patient and the patient’s delegate. If these discussions do not lead to mutual agreement, the Patient or Customer shall contact the chief physician of Healthlinebd. Any claims other than